Theravex Hub /

Theravex oral care

Dental Application

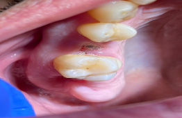
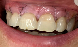
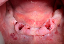
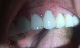
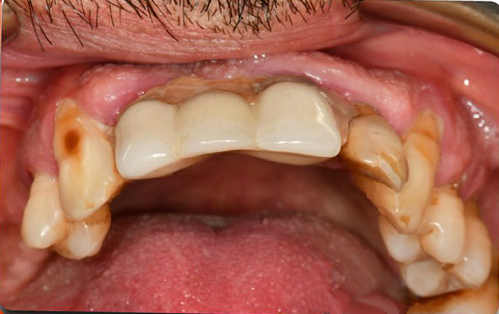
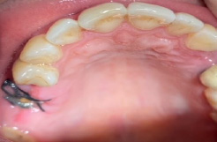
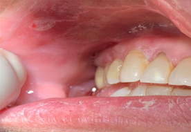
Case 1

 Excision of pleomorphic adenoma of the hard palate.
Post-extraction use of Theravex Oral Care demonstrated significant healing within 7 days. At the one-month follow-up, complete mucosal healing was observed.

Before

Before
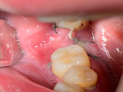
After

After

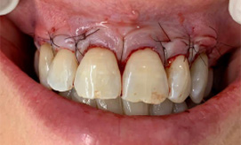
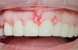
Case 2

the use of Theravex Oral Care  after a complicated extraction showed noticeable healing within 2 days.

Before

Before
After

After

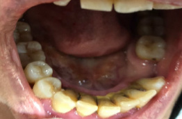
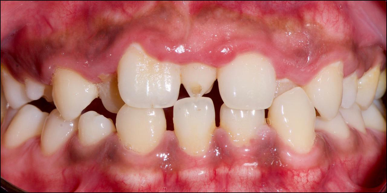
Case 3

Using  Theravex Oral Care  after extraction helps reduce pain and shows noticeable healing results within 7 days..

Dr/Hussin Motawea
Cases from/kafr el Shikh, Egypt

Before

Before
After

After

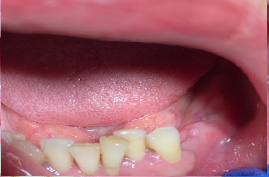
Case 4

the use of Theravex Oral Care showing result of healing after 7 days.

Cases from/King Saud University

Before

Before
After

After

Case 5

the use of Theravex Oral Care  after extraction, showing result of healing after 7 days .

Before

Before
After

After

Case 6

the use of Theravex Oral Care  after extraction, showing result of healing after 7 days .

Before

Before
After

After

Case7

the use of Theravex Oral Care  after extraction, showing result of healing after 7 days .

Before

Before
After

After

Case 8

the use of Theravex Oral Care  after extraction, showing result of healing after 7 days .

Before

Before
After

After

Case 9

the use of Theravex Oral Care  after extraction, showing result of healing after 7 days .

Before

Before
After

After

Case 10

the use of Theravex Oral Care  after extraction, showing result of healing after 7 days .

Before

Before
After

After

Case 11

the use of Theravex Oral Care  after extraction, showing result of healing after 7 days .

Before

Before
After

After

Case 12

the use of Theravex Oral Care  after extraction, showing result of healing after 7 days .

Before

Before
After

After

Case 13

the use of Theravex Oral Care  after extraction, showing result of healing after 7 days .

Before

Before
After

After

Case 14

the use of Theravex Oral Care  after extraction, showing result of healing after 7 days .

Before

Before
After

After

Case 15

the use of Theravex Oral Care  after extraction, showing result of healing after 7 days .

Before

Before
After

After

Case 16

the use of Theravex Oral Care  after extraction, showing result of healing after 7 days .

Before

Before
After

After

Case 17

the use of Theravex Oral Care  after extraction, showing result of healing after 7 days .

Before

Before
After

After

Case 18

the use of Theravex Oral Care  after extraction, showing result of healing after 7 days .

Before

Before
After

After

Case 19

the use of Theravex Oral Care  after extraction, showing result of healing after 7 days .

Before

Before
After

After

Case 20

the use of Theravex Oral Care  after extraction, showing result of healing after 7 days .

Before

Before
After

After

Case 21

the use of Theravex Oral Care showing result of healing after 7 days.

Cases from /King Saud University

Before

Before
After

After

Case 22

the use of Theravex Oral Care  in sinus grafting, showing  result of healing after 7 days.

Case from Colombia.

Before

Before
After

After

Case 23

the use of Theravex Oral Care showing result of healing after 7 days.

Before

Before
After

After

Case 24

the use of Theravex Oral Care showing result of healing after 7 days.
Cases from /King Saud University

Before

Before
After

After

Case 25

the use of Theravex Oral Care showing result of healing after 7 days.

Before

Before
After

After

Case 26

the use of Theravex Oral Care showing result of healing after 7 days.

Before

Before
After

After

Case 27

the use of Theravex Oral Care showing result of healing after 7 days.

Before

Before
After

After

Case 28

the use of Theravex Oral Care showing result of healing after 7 days.

Before

Before
After

After

Case 29

the use of Theravex Oral Care showing result of healing after 7 days.

Before

Before
After

After

Case 30

the use of Theravex Oral Care showing result of healing after 7 days.

Before

Before
After

After

Case 31

the use of Theravex Oral Care showing result of healing after 7 days.

Before

Before
After

After

Case 32

the use of Theravex Oral Care showing result of healing after 7 days.

Before

Before
After

After

Case 33

the use of Theravex Oral Care showing result of healing after 7 days.

Before

Before
After

After

Case 34

the use of Theravex Oral Care showing result of healing after 7 days.

Before

Before
After

After

Case 35

the use of Theravex Oral Care showing result of healing after 7 days.

Before

Before
After

After

Case 36

the use of Theravex Oral Care showing result of healing after 7 days.

Before

Before
After

After

Case 37

the use of Theravex Oral Care showing result of healing after 7 days.

Before

Before
After

After

Case 38

the use of Theravex Oral Care showing result of healing after 7 days.

Before

Before
After

After

Case 39

the use of Theravex Oral Care showing result of healing after 7 days.

Before

Before
After

After

Case 40

the use of Theravex Oral Care showing result of healing after 7 days.

Before

Before
After

After

Case 41

the use of Theravex Oral Care showing result of healing after 7 days.

Before

Before
After

After

Case 42

the use of Theravex Oral Care showing result of healing after 7 days.

Before

Before
After

After

Case 43

the use of Theravex Oral Care showing result of healing after 7 days.

Before

Before
After

After

Case 44

the use of Theravex Oral Care showing result of healing after 7 days.

Before

Before
After

After

Case 45

the use of Theravex Oral Care showing result of healing after 7 days.

Before

Before
After

After

Case 46

the use of Theravex Oral Care showing result of healing after 7 days.

Before

Before
After

After

Case 47

the use of Theravex Oral Care showing result of healing after 7 days.

Before

Before
After

After

Case 48

the use of Theravex Oral Care showing result of healing after 7 days.

Before

Before
After

After

Case 49

the use of Theravex Oral Care showing result of healing after 7 days.

Before

Before
After

After

Case 50

the use of Theravex Oral Care showing result of healing after 7 days.

Before

Before
After

After

Case 51

the use of Theravex Oral Care showing result of healing after 7 days.

Before

Before
After

After

Case 52

the use of Theravex Oral Care showing result of healing after 7 days.

Before

Before
After

After

Case 53

the use of Theravex Oral Care  after extraction, showing result of healing after 7 days .

Before

Before
After

After

Case 54

the use of Theravex Oral Care  after extraction, showing result of healing after 7 days .

Before

Before
After

After

Case 55

the use of Theravex Oral Care  after extraction, showing result of healing after 7 days .

Before

Before
After

After

Case 56

the use of Theravex Oral Care showing result of healing after 7 days.

Before

Before
After

After